Индивидуальный подход к каждому пациенту и высокое качество лечения.
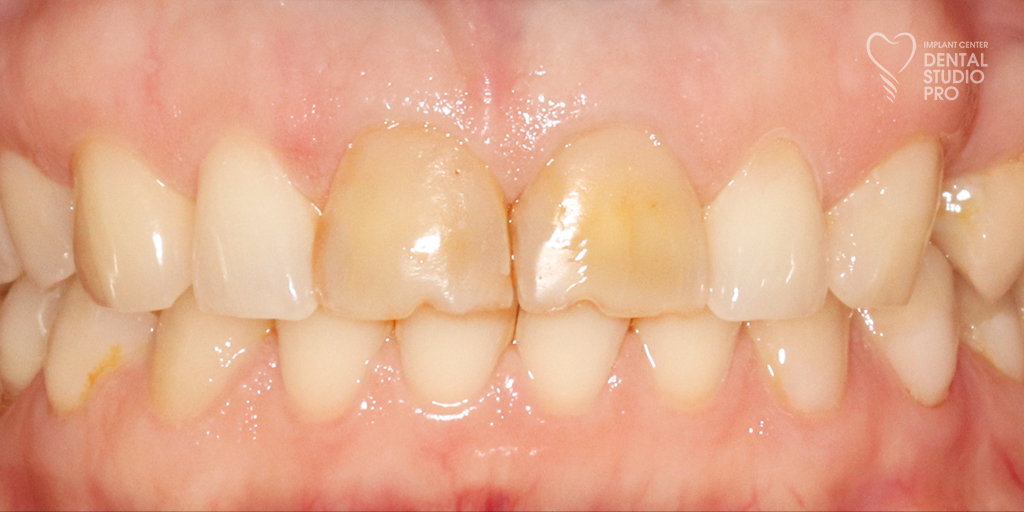
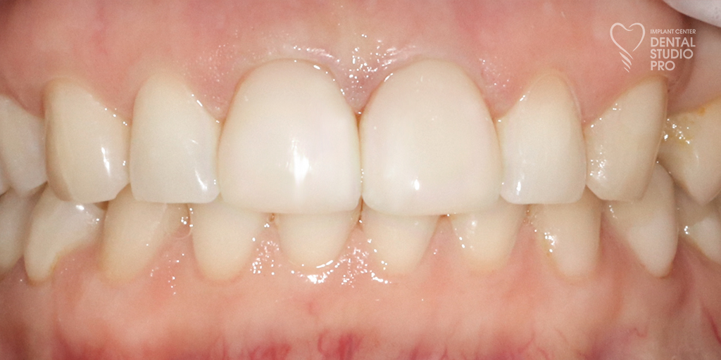
Он в совершенстве владеет всеми методами реставрации зубов (в том числе композитными винирами), пломбированием корневых каналов, а также и популярными на сегодняшний день методиками отбеливания зубов, профессиональной 3-х этапной чистки зубов, ремотерапии и фторирования эмали.
Удаляет зубы любой сложности (в том числе ретенированне и полуретенированные восьмерки)
Специализация
- лечение заболеваний зубов и десен;
- пломбирование;
- отбеливание;
- фторирование;
- прямые реставрации зубов и реставрации на корне
- коррекция высоты прикуса;
- установка адгезивных мостовидных протезов;
- закрытие перфораций биологически совместимыми цементами;
- восстановление зубов с периапикальными разряжениями костной ткани, переломами корней;
- лечение корневых кист и гранулем;
- удаление "зубов мудрости".
Образование
2011г - Окончил Луганский Государственный мед. Университет
2011-2013гг - Интернатура в Городская стоматологическая поликлиника г. Красный Луч, Луганская обл, Украина.
2013-2014гг - Стоматолог-терапевт в городской стоматологической поликлинике г Красный Луч, Луганская обл., Украина.
2015г - Подтвердил сертификат "стоматолог общей практики" в Нижегородской стомат. академии.
Курсы повышения квалификации
2015г - участие в ХI Международном эндодонтическом конгрессе VDW GmbH г. Москва
2016г. - участие в семинаре "Современная эстетическая реставрация композитом "Эстелайт". Лектор: Мендоса Е.Ю."
- «Клинические особенности применения реставрационных материалов ЗMESPE»;
- «Пломбирование каналов зубов гуттаперчей в технике холодной латеральной конденсации»;
- «Реставрационная терапия с применением оборудования, материалов и технологий Dentalsply»;
- «Стекловолоконное армирование в повседневной клинической практике»;
- «Эстетическая стоматология и эндодонтия».
 
  
					 
         
             
         
             
         
             
         
             
         
             
         
             
         
             
         
             
         
             
         
             
	 
	 
	 
	 
	 
														 
														 
														 
														 
														 
														